Web Analytics Made Easy - Statcounter
stages of goose egg development Egg candling hatching eggs chicken duck day candled days if charts chart hatch embryo like look what when brown chickens

stages of goose egg development Egg candling hatching eggs chicken duck day candled days if charts chart hatch embryo like look what when brown chickens

Egg eggs candling chicken life cycle chick day stages fertile embryo incubation hatching development chicks chart chickens ultrasound exploration set

If you are searching about Quail Embryo Development | Homeschooling | Pinterest | Quails, Backyard you've visit to the right page. We have 32 Images about Quail Embryo Development | Homeschooling | Pinterest | Quails, Backyard like Over View of Different Stages of Egg Development – The Poultry Guide, Over View of Different Stages of Egg Development | The Poultry Guide and also Egg Hatching Stages. Read more:

Quail Embryo Development | Homeschooling | Pinterest | Quails, Backyard

Quail Embryo Development | Homeschooling | Pinterest | Quails, Backyard www.pinterest.com

quail embryo development egg quails farm candling chicken backyard eggs chickens coop birds choose board

Chicken Hatch Calendar | Chicken Life Cycle, Chicken Life, Life Cycles

Chicken Hatch Calendar | Chicken life cycle, Chicken life, Life cycles uk.pinterest.com

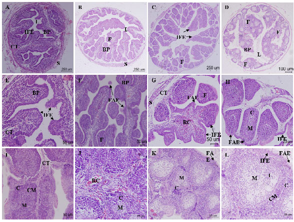
T Lymphocyte Selection Is Indispensible For The Development Of Goose

T Lymphocyte Selection is Indispensible for the Development of Goose scialert.net

bursa fabricius epithelium goose lymphocyte indispensible selection development fig

Day 12 - Emily's 2012 Hatch

Day 12 - Emily's 2012 Hatch emilys2011hatch.weebly.com

chicken day hatch egg 2012 eggs weebly emily coop chickens development chick homestead what days incubation embryo shit poultry been

Egg Hatching Stages

Egg Hatching Stages ar.inspiredpencil.com

Egg Candling With The Incu-Bright | Egg Candling, Candling Chicken Eggs

Egg Candling with the Incu-Bright | Egg candling, Candling chicken eggs www.pinterest.com

egg chicken eggs candling chart chickens incubating development incubator embryo hatching baby chicks day if fair science duck laying can

Bird Growth Chart | Egg Candling, Hatching Chickens, Chickens Backyard

Bird growth chart | Egg candling, Hatching chickens, Chickens backyard www.pinterest.com

egg chart candling chicken chickens quail duck hatching eggs growth incubator bird raising

Egg Candling Chart For Duck Eggs | Homesteads And Mini-Farms

egg candling chart for duck eggs | Homesteads and Mini-Farms www.pinterest.com

chart candling eggs duck egg

Will You Help Me Hatch These Eggs? - Page 2

Will you help me hatch these eggs? - Page 2 www.backyardchickens.com

egg candling hatching eggs chicken duck day candled days if charts chart hatch embryo like look what when brown chickens

Muscovy Duck Egg Candling Chart | Egg Candling, Hatching Chickens

Muscovy Duck Egg Candling Chart | Egg candling, Hatching chickens www.pinterest.com.au

egg candling chart duck muscovy eggs chicken what visit

Egg Candling Process From Day 1 To 21

Egg Candling Process from Day 1 to 21 www.pinterest.com

CANDLED EGG PICS Day 1-17 - Page 2

CANDLED EGG PICS day 1-17 - Page 2 www.backyardchickens.com

egg candling eggs chicken day candled days hatching if hatch charts chart brown one chickens will duck development have fertile

Cells | Free Full-Text | Utilisation Of Chick Embryo Chorioallantoic

Cells | Free Full-Text | Utilisation of Chick Embryo Chorioallantoic www.mdpi.com

chick embryo development cells cam biomedical research model membrane

Canada Goose Goslings In Various Stages Of Development Eating Grass By

canada goose goslings in various stages of development eating grass by stock.adobe.com

What Is Going On Inside? - British Waterfowl Association

What is going on inside? - British Waterfowl Association www.waterfowl.org.uk

Candling | Candling Chicken Eggs, Hatching Chickens, Chickens Backyard

candling | Candling chicken eggs, Hatching chickens, Chickens backyard www.pinterest.com.au

Embryo Growth Chart | Chickens Backyard, Candling Chicken Eggs, Egg

Embryo growth chart | Chickens backyard, Candling chicken eggs, Egg www.pinterest.com

candling eggs duck incubation chickens hatching muscovy embryo silkie hatch backyardchickens determine incubator

Bad Eggs And Good Eggs. Candling Guide. | Raising Chickens, Candling

Bad eggs and good eggs. Candling guide. | Raising chickens, Candling www.pinterest.com

chicken eggs candling bad guide egg good

Embryonated Egg Cultures For Viruses – Microbe Online

Embryonated Egg Cultures for Viruses – Microbe Online microbeonline.com

Hatching Egg Incubation Stages | Candling Guide

Hatching Egg Incubation Stages | Candling Guide www.pinterest.com.au

egg candling eggs chicken hatching day incubation incubating duck stages chickens candled animals incubated farm hobby incubator pheasant candles farms

Fertile Eggs - Embryo Stages | Chickens | Pinterest | Eggs, Egg And Day

Fertile eggs - embryo stages | Chickens | Pinterest | Eggs, Egg and Day www.pinterest.com

egg eggs candling chicken life cycle chick day stages fertile embryo incubation hatching development chicks chart chickens ultrasound exploration set

Over View Of Different Stages Of Egg Development – The Poultry Guide

Over View of Different Stages of Egg Development – The Poultry Guide thepoultryguide.com

egg development stages candling chicken guide different timeline over poultry hatching incubation thepoultryguide

How To Candle Eggs & What To Look For - Hincubate | Egg Candling

How to Candle Eggs & What to Look for - Hincubate | Egg candling www.pinterest.com

Recommendations | Инкубаторы Квочка

Recommendations | Инкубаторы Квочка incubator.com.ua

egg development stages embryo recommendations chicken

How To Hatch Goose Eggs - Tips, Tricks, And Troubleshooting - Tyrant Farms

How to hatch goose eggs - tips, tricks, and troubleshooting - Tyrant Farms www.tyrantfarms.com

Embryonic Development Of The Duck, Goose, And Chicken At Stages 26 To

Embryonic development of the duck, goose, and chicken at stages 26 to www.researchgate.net

Pin On Chicken Coops

Pin on Chicken coops www.pinterest.co.uk

candling chickens hatching chicks eggs incubator chart embryo summary developing embryology

Over View Of Different Stages Of Egg Development | The Poultry Guide

Over View of Different Stages of Egg Development | The Poultry Guide thepoultryguide.com

egg development stages embryo eggs day hatching chicken chick chickens chicks chart incubation baby life incubating period incubator cycle inside

Embryonic Development Of The Duck, Goose, And Chicken At Stages 41 To

Embryonic development of the duck, goose, and chicken at stages 41 to www.researchgate.net

Candling Goose Eggs Part 1 - YouTube

Candling goose eggs part 1 - YouTube www.youtube.com

goose eggs candling

When You First Collect An Egg, How Do You Know If It's Fertile?

When you first collect an egg, how do you know if it's fertile? www.backyardchickens.com

chicken egg candling eggs hatching day candled 17 chickens incubator chart incubation development if chick incubating when do fertile duck

Incubation - British Waterfowl Association

Incubation - British Waterfowl Association www.waterfowl.org.uk

When you first collect an egg, how do you know if it's fertile?. Chicken eggs candling bad guide egg good. Embryonated egg cultures for viruses – microbe online